All Related Articles for: Unlock Universal Super-Antibodies: New Clinical Trial
Found 30 articles related to this post based on shared entities and topics.
-
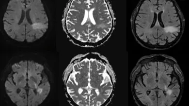
March 21, 2026The Hidden Brain Virus You May Already Have
The John Cunningham (JC) virus is a common, lifelong,…
Read More » -
March 20, 2026Bots May Dominate Web Traffic by 2027, Warns Cloudflare CEO
AI agents are projected to become the primary source…
Read More » -
March 10, 2026The 2027 Bolt: Chevrolet’s Surprising Comeback, Driven
The 2027 Chevrolet Bolt marks a surprising revival of…
Read More » -
February 10, 2026NIH Director Calls for New Scientific Revolution Post-COVID
The MAHA Institute event highlighted a movement demanding a…
Read More » -
January 21, 2026Gene-Editing Scientist Freed, Plans New CRISPR Babies
The controversial scientist He Jiankui, released from prison, is…
Read More » -
December 15, 2025GTA Creator’s New Novel: An AI That Hijacks Your Mind
Dan Houser, co-founder of Rockstar Games, has released his…
Read More » -
December 8, 2025Slay the Spire 2 Exists Because of a 50/50 Coin Flip
The development of *Slay the Spire 2* was decided…
Read More » -
December 3, 2025The CDP Era Has Ended: What’s Next?
The initial vision for Customer Data Platforms (CDPs) has…
Read More » -
December 3, 2025The “RAM Boycott” Won’t Lower Prices—Here’s Why
A proposed "RAM boycott" by PC gamers is unlikely…
Read More » -
December 1, 2025Inside the Care Home’s Surreal ‘Hugging Room’
An Italian care home created a "hugging room" in…
Read More » -
November 30, 2025Path to Long-Term HIV Remission
HIV has transitioned to a manageable chronic condition, yet…
Read More » -
November 25, 2025UK Invests $130M in AI Tech to Boost Sector Growth
The UK government is investing £100 million to purchase…
Read More » -
November 14, 2025Airlines and Airports Rebound From Shutdown
The end of the longest US government shutdown has…
Read More » -
November 7, 2025Elderly Man’s Surprising STI Baffles Doctors After 50-Year Marriage
An elderly Belgian patient presented a diagnostic challenge as…
Read More » -
October 31, 2025Video and AI: The Future of Smart Building Experiences
Intelligent technology, particularly video and AI, is now a…
Read More » -
October 29, 2025OpenAI’s Atlas Browser: A New Era for AI and Climate Action
A potential TikTok agreement may be reached during a…
Read More » -
September 29, 2025Polars Creator Raises $21M From Accel to Boost Open Source Tool
Polars secured a $21 million Series A investment led…
Read More » -
September 17, 2025IBC2025: Why Supply Chain Fixes Can’t Save Legacy Media
The broadcast industry is at a critical inflection point,…
Read More » -
September 12, 2025GitHub Flaw: Repositories Can Run Code on Your PC Without Permission
A security flaw in the Cursor extension for Visual…
Read More » -
September 4, 2025Google Maps COVID Vaccine Finder Disappears in Technical Glitch
A technical issue with Google Maps is preventing users…
Read More »